名駅1番出口
徒歩1分
日曜診療

※隔週

保育士の
 無料託児・
キッズスペース

急患
随時対応

ビジネスマン
通いやすい

新着情報

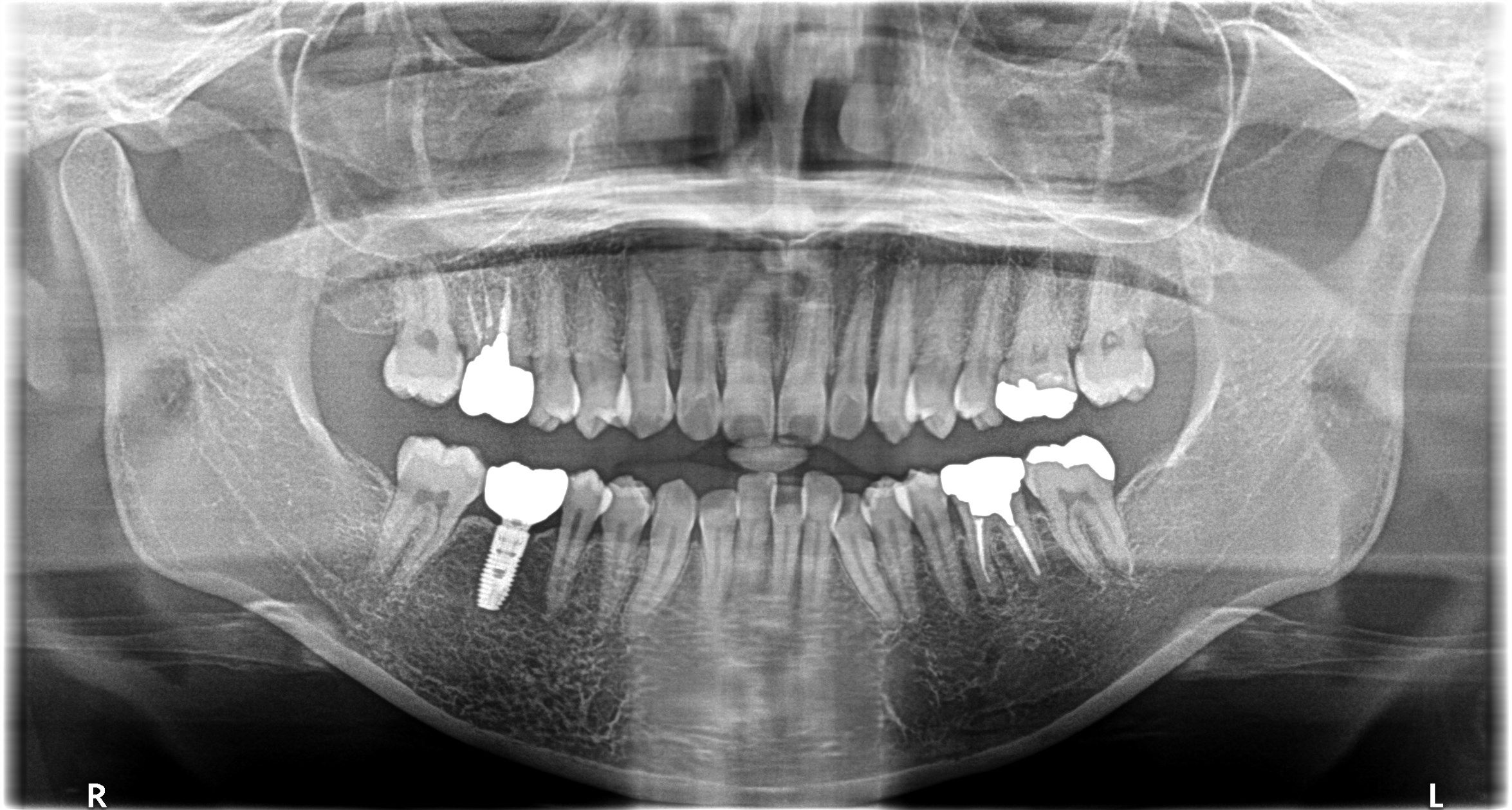
根管治療とインプラント、どちらを選ぶべき?

根管治療とインプラント、どちらを選ぶべき?

こんにちは。名駅サランおとなこども歯科の院長の妹尾です。

「歯の神経まで虫歯が進んでいる」「強い痛みで歯を残せるか心配」

そんなときに選択肢としてあがるのが 根管治療インプラント です。

「できれば歯を残したいけど、根管治療で本当に大丈夫?」

「抜歯してインプラントにした方が長持ちするのでは?」

こうしたご相談を患者さんからいただくことは少なくありません。

今回は 根管治療とインプラント、それぞれの特徴・メリット・デメリット を比較し、どのように選択すればよいのかをわかりやすく解説します。

 

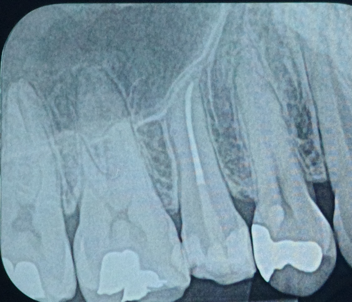
① 根管治療とは?

根管治療は、歯の神経や血管が細菌に感染した場合に行う治療です。感染した神経を取り除き、歯の根の中を清掃・消毒して薬を詰めることで、歯を抜かずに残すことを目的としています。

  • メリット

    • 自分の歯を残せる

    • 保険適用で治療可能(費用を抑えられる)

    • 噛む感覚をそのまま保てる

  • デメリット

    • 治療回数が複数回に及ぶことがある

    • 成功率は症例によって異なり、再治療が必要になる場合がある

    • 神経を失った歯は脆くなりやすく、被せ物で補強が必要

② インプラントとは?

インプラントは、歯を失った部分の顎の骨に人工のチタン製のネジ(フィクスチャー)を埋め込み、その上に人工の歯を装着する治療です。自分の歯のように噛めるのが特徴です。

  • メリット

    • 見た目や噛み心地が天然の歯に近い

    • 周囲の歯に負担をかけない(ブリッジのように削らない)

    • 適切なケアをすれば長期的に安定する

  • デメリット

    • 外科手術が必要(骨に埋め込む)

    • 自費診療のため費用が高い

    • 糖尿病や骨粗鬆症など全身の状態によっては適応できない場合がある

    • メンテナンスを怠るとインプラント周囲炎(歯周病のような病気)で脱落するリスクがある

③ 年齢や口腔内の状態による選択の違い

どちらの治療が向いているかは、年齢やお口の状態によって変わります。

  • 若年層〜中年層

    → できる限り自分の歯を残すことが第一選択。根管治療で保存できる可能性があれば挑戦する価値があります。

  • 高齢層

    → 歯の状態が悪く、再治療を繰り返すリスクが高い場合は、抜歯+インプラントを選択する方が長期的に安定することもあります。

  • 歯や骨の状態

    • 根の破折がある場合 → 保存が難しくインプラントを検討

    • 骨量が少ない場合 → インプラント前に骨造成が必要

    • 歯周病が進行している場合 → まず歯周治療を優先し、その後の選択を考える


④ 当院での治療方針

名駅サランおとなこども歯科では、「残せる歯はできるだけ残す」 ことを基本方針としています。

  • ラバーダム防湿を用いて無菌的に治療

  • マイクロスコープやルーペで拡大視野下で精密治療

  • 難症例は根管治療専門医と連携

これにより、根管治療の成功率を高め、歯を残す可能性を最大限に引き出します。

一方で、

  • 亀裂や根の破折があり保存不可能な場合

  • 根管治療を繰り返しても改善が見込めない場合

  • 重度の感染で歯や周囲の骨への影響が大きい場合

こうしたケースでは、無理に歯を残すことよりも 抜歯+インプラント の方が将来的に有利になると判断し、ご提案します。

つまり、当院では「根管治療かインプラントか」の二択ではなく、お口全体の健康と将来の予測をふまえて最適な選択 を一緒に考えていきます。


⑤ 患者さんによくある質問

Q1. 費用はどちらが高いですか?

→ 根管治療は保険適用のため費用を抑えられます。インプラントは自費診療のため1本数十万円かかります。

Q2. 治療期間はどのくらいですか?

→ 根管治療は数回の通院で1〜2か月程度。インプラントは手術後の骨との結合期間を含めて3〜6か月かかります。

Q3. 長持ちするのはどちらですか?

→ 条件が良ければインプラントは20年以上持つこともあります。ただし日々のメンテナンスが不可欠です。根管治療後の歯も、定期的な管理で長期的に機能させることが可能です。


まとめ

  • 根管治療は「自分の歯を残すための治療」

  • インプラントは「失った歯を人工歯で補う治療」

  • どちらにもメリット・デメリットがあり、年齢や歯の状態によって選択は異なる

  • 当院ではまず「残せる歯は残す」ことを基本とし、必要に応じてインプラントもご提案

「歯を残した方がいいの?」「インプラントの方が安心?」と迷ったときは、ぜひ一度ご相談ください。

名駅サランおとなこども歯科では、患者さん一人ひとりの将来を考えた治療を一緒に検討いたします。

名駅・名古屋駅の歯医者・小児歯科

住所
〒450-0002
愛知県名古屋市中村区名駅2丁目42-12
ADC名駅2丁目ビル 2F
TEL:052-581-6480
診療時間

平日10:00~13:00/15:00~19:00

土日9:30~13:00/14:00~16:30

休診日水・日(隔週)・祝

名駅1番出口
徒歩1分
日曜診療

※隔週

保育士の
無料託児

キッズスペース
あり

ビジネスマン
通いやすい

〒450-0002
愛知県名古屋市中村区名駅2丁目42-12
ADC名駅2丁目ビル 2F
診療時間
10:00-13:00 ×
15:00-19:00 ×

△…土日は9:30~13:00/14:00~16:30

休診日:水・日(隔週)・祝日

名駅の歯医者・小児歯科「名駅サランおとなこども歯科」
WEB予約 TEL お電話でのお問い合わせ 052-581-6480

予約可能日をみる

※初めての方専用