新着情報
斜めに生えている親知らずをなぜ抜かない!?斜めの親知らずは必ず抜いて。歯科医師からの切実な願い
こんにちは。名駅サランおとなこども歯科の院長の妹尾です。
突然ですが、皆さんは歯医者でこんなことを言われた経験はありませんか? 「あー、下の親知らずが斜めに生えていますね。早めに抜いたほうがいいですよ」
この言葉を聞いて、素直に「はい、抜きます!」と即答できる方はごくわずかです。大半の方は、「えっ…でも今は全然痛くないし、抜くのは怖いからこのままでいいです」と答えます。あるいは、仕事が忙しいからと予約を先延ばしにし、そのまま何年も放置してしまう方が後を絶ちません。
お気持ちは、本当によく分かります。 歯を抜くなんて誰だって怖いですし、特に「斜めの親知らずの抜歯は腫れる、痛い」という噂を聞けば、逃げ出したくなるのは当然のことです。
しかし、日々多くの患者様のお口を診ている歯科医師として、私はあえて声を大にして、切実なお願いをしたいと思います。
「斜めに生えている親知らずは、痛みがなくても絶対に、必ず抜いてください!」
なぜ、私たちがここまで必死に抜歯を勧めるのか。今日はその「本当の理由」について、少し厳しい現実も交えてお話しします。
■ 最大の理由は「手前の超重要パーツ(7番目の歯)」を守るため
私たちが斜めの親知らずを憎む最大の理由、それは「手前の健康な歯を道連れにして、破壊してしまうから」です。
親知らず(8番目の歯)の手前には、第2大臼歯(7番目の歯)という、食べ物をすりつぶすために最も重要な、大きくて丈夫な歯があります。 親知らずがまっすぐ生えず、斜めや横向きに倒れて生えてくると、この大切な7番目の歯にガンガンと頭をぶつけるような形で止まってしまいます。
するとどうなるか。 7番目の歯と親知らずの間に、「絶対に歯ブラシの毛先が届かない、魔の三角地帯(デッドスペース)」が生まれるのです。
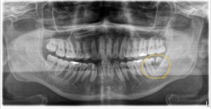
■ レントゲン画像が示す「恐ろしい悲劇」と残酷な現実

このレントゲン画像を見てください。黄色い丸で囲まれた部分が黒く透けている(透過像)のが分かると思います。これが「虫歯」です。
斜めに倒れ込んだ親知らずと、手前の7番の歯の間に食べカスや細菌(プラーク)が溜まり続け、なんと「2本同時に」巨大な虫歯を作ってしまっています。
親知らず自体が虫歯になるのは、正直どうでもいいのです。抜いてしまえば済む話ですから。 本当に恐ろしいのは、「一生使わなければならない大切な7番目の歯の、根っこの深い部分」に巨大な虫歯ができてしまうことです。この部分の虫歯は、外から見ても全く分かりません。
実は、大変残念なことに、今回レントゲンでご紹介したこちらの患者様は、虫歯が歯の根の奥深くまで進行しすぎており、手前の「左下7番」も保存不可能として【抜歯】の診断となってしまいました。
何の役にも立っていない親知らずのせいで、一番働き者の大黒柱を失う。 「痛い」と自覚症状が出た時には、時すでに遅し。これほど理不尽で、患者様にとって悲しい結末はありません。
■ 他にもある、斜めの親知らずが引き起こすトラブル
手前の歯を虫歯にするだけでなく、斜めの親知らずは数々のトラブルの引き金(時限爆弾)となります。
-
智歯周囲炎(強烈な腫れと痛み): 親知らずの周りの歯ぐきに細菌が繁殖し、炎症を起こします。疲れている時、寝不足の時、風邪をひいた時など、体の免疫力が落ちた瞬間に突然大暴れします。「顔の形が変わるほど腫れる」「口が開かなくなる」「痛くて夜も眠れない」といった激しい症状が出ます。
-
歯周病の進行: 汚れが溜まりやすいことで、手前の歯の周りの骨(歯槽骨)までドロドロに溶かしてしまいます。虫歯になっていなくても、グラグラになって抜けてしまうリスクが高まります。
-
口臭の強烈な原因に: 自分では届かない奥深くに腐った食べカスや膿が溜まり続けるため、ドブのような強烈な口臭の原因になります。
■ 「痛くない=安全」という最大の誤解
患者様が抜歯を先延ばしにする最大の理由は、「今は痛くないから」です。 しかし、ここまで読んでいただいた方にはお分かりいただけると思います。斜めの親知らずにおいて、「痛みがない」ことは健康の証明には全くなりません。単に「静かに手前の歯を破壊し続けている最中」というだけなのです。
痛くなってから、あるいは大きく腫れてから歯医者に駆け込んでも、その日は麻酔が効かないためすぐに抜歯することはできません。抗生物質を飲んで腫れが引くのを何日も耐え忍び、それからようやく抜歯の予約を取ることになります。
■ 恐怖を乗り越えて、未来の自分の歯を守ろう
確かに、下の斜めの親知らずを抜くのは、歯ぐきを切ったり、歯を割ったりする「小手術」になることが多いです。術後は数日間腫れますし、痛み止めも必要になります。その恐怖や面倒くささは、痛いほど分かります。
しかし、冷静に天秤にかけてみてください。 「数日間の腫れと痛み」を我慢して親知らずとお別れするか。 それとも、今回のケースのように「大切な7番目の歯を失い、一生後悔しながら入れ歯やインプラントの生活を送る」か。
答えは明白なはずです。
歯科医師は、あなたの歯をいじめたいわけではありません。あなたの10年後、20年後の健康な食生活を守りたいからこそ、「嫌がられてもいいから、絶対に抜いて!」と口酸っぱくお伝えしているのです。
もし今、あなたのお口の中に「斜めに生えている親知らず」があり、それを放置しているなら。 どうか今すぐ、かかりつけの歯科医院に電話をして、抜歯の相談をしてください。タイムリミットは、あなたが思っているよりも確実に迫っています。
私たち歯科医師からの、切実な願いです。
■ 診療時間・アクセス
名駅サランおとなこども歯科 〒450-0002 名古屋市中村区名駅2丁目42−12 ADC名駅2丁目ビル2F TEL:052-581-6480
【診療時間】
-
月〜金: 10:00〜13:00 / 15:00〜19:00
-
土・日: 09:30〜13:00 / 14:00〜16:30
-
休診日:水曜・隔週日曜
-
▼ 24時間WEB予約はこちら 名駅サランおとなこども歯科
名駅・名古屋駅の歯医者・小児歯科
- 診療時間
-
平日10:00~13:00/15:00~19:00
土日9:30~13:00/14:00~16:30
休診日水・日(隔週)・祝