新着情報
【子供の歯】乳歯がまだあるのに永久歯が生えてきた!「二枚歯」は抜くべき?様子見でOK?
こんにちは。名古屋駅からすぐ、名駅サランおとなこども歯科・院長の妹尾です。
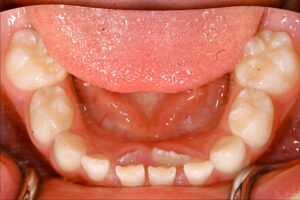
お子様の歯磨き仕上げをしている時、あるいはふとお口の中を見た時に、こんな衝撃的な光景を目にしたことはありませんか?
「乳歯がまだ残っているのに、その後ろから大人の歯が生えてきている!」

まるでサメの歯のように2列に並んで生えている様子を見て、「これって異常?」「歯並びが悪くなってしまうのでは?」と焦ってしまう親御さんは非常に多いです。 実はこれ、歯科用語では**「異所萌出(いしょほうしゅつ)」**などと呼ばれ、特に下の前歯によく見られる現象です。決して珍しいことではありません。
しかし、「すぐに抜いたほうがいい場合」と「少し様子を見てもいい場合」があるのをご存知でしょうか? 今日は、そんな生え変わりのトラブルへの正しい対応法についてお話しします。
■ なぜ、重なって生えてくるの?
通常、永久歯は乳歯の根っこを溶かしながら、真下から押し上げるようにして生えてきます。根っこが溶かされた乳歯はグラグラになり、自然に抜け落ちます。
しかし、顎の骨の中で永久歯の位置が少しずれていたり、顎が小さくてスペースが足りなかったりすると、永久歯が乳歯の根っこを溶かさずに、別の場所(多くは舌側)からひょっこりと顔を出してしまうのです。 こうなると、乳歯は根っこがしっかり残ったままなので、なかなか抜けません。これが「二枚歯」の状態です。
■ ケース1:【様子を見てもいい場合】
以下の条件に当てはまる場合は、少しの間、自宅で様子を見ても大丈夫なことが多いです。
-
乳歯がかなりグラグラしている 指で触ると前後左右に大きく動くようであれば、あと少しで抜けるサインです。
-
永久歯がまだ生え始め(頭が少し見えた程度) 永久歯が生えきっていない段階なら、乳歯が抜けた後に舌の力で自然と正しい位置(前側)に押され、きれいな列に戻ることが期待できます。
【ご自宅でのアドバイス】 お子様に「指や舌で、グラグラしている歯を少しずつ揺らしてごらん」と伝えてみてください。無理に引き抜くのは痛いですが、自然に脱落を促すのは良いことです。
■ ケース2:【早めに歯科医院へ来てほしい場合】
一方で、以下のような場合は、自然に抜けるのを待たずに、歯科医院での抜歯を検討すべきです。
-
乳歯が全くグラグラしていない 「びくともしない」状態であれば、永久歯がこれ以上伸びても乳歯は抜けません。
-
永久歯が乳歯と同じ高さまで伸びている ここまで育ってしまうと、乳歯が邪魔をして永久歯が正しい位置に移動できず、歯並びが悪くなる(ガタガタになる)原因になります。
-
痛みや腫れがある 「噛むと痛い」「歯茎が腫れている」場合は、細菌が入って炎症を起こしている可能性があります。
-
乳歯が虫歯になっている 虫歯菌が隣の生えたての永久歯に移ってしまうリスクがあります。
■ 「歯医者さんで抜く」ことのメリット
「無理やり抜くのはかわいそう…」と思われる親御さんもいらっしゃるかもしれません。 しかし、適切なタイミングで処置をすることは、お子様の将来の歯並びと健康を守るための第一歩です。
-
歯並びへの悪影響を防ぐ: 邪魔な乳歯を早く取り除くことで、永久歯が本来の位置(空いたスペース)に移動しやすくなります。これにより、将来的な矯正治療のリスクや、矯正が必要になった場合の難易度を下げることができます。
-
虫歯予防: 二枚歯の状態は、歯と歯の隙間が複雑で非常に磨きにくいです。食べカスが詰まりやすく、生えたばかりの無防備な永久歯が虫歯になるリスクが高まります。抜歯してスッキリさせることで、仕上げ磨きもしやすくなります。
■ 名駅サランおとなこども歯科の「怖くない」抜歯
当院では、お子様が歯医者嫌いにならないよう、細心の注意を払って治療を行います。
-
表面麻酔の使用: 注射の前に、歯茎に塗るタイプの麻酔を使い、「チクリ」とする痛みを減らします。
-
素早い処置: グラグラしている歯であれば、ほんの一瞬で終わります。「え?もう終わったの?」と驚くお子様も多いです。
-
頑張ったね!の雰囲気: 抜けた乳歯は、可愛いケースに入れてお持ち帰りいただけます(※在庫状況によります)。これはお子様にとっても「大人の歯への第一歩」という自信に繋がります。
■ 最後に:迷ったら「確認」だけでもOKです
「抜くべきか、待つべきか判断がつかない…」 そんな時は、迷わず当院にいらしてください。
レントゲンを撮って「乳歯の根っこがどれくらい残っているか」を確認すれば、すぐに抜くべきかどうかの正確な判断ができます。 もし「まだ待てる」と判断すれば、無理に抜くことはしません。経過観察を行いながら、適切な時期を見極めます。
名古屋駅周辺にお住まいの方、お買い物ついでの方も、ぜひお気軽にご相談ください。 お子様のきれいな歯並びの土台作り、私たちが全力でサポートいたします。
■ 診療時間・アクセス
名駅サランおとなこども歯科 〒450-0002 名古屋市中村区名駅2丁目42−12 ADC名駅2丁目ビル2F
TEL:052-581-6480
【診療時間】
-
月〜金: 10:00〜13:00 / 15:00〜19:00
-
土・日: 09:30〜13:00 / 14:00〜16:30
-
休診日:水曜・隔週日曜
-
※▲:日曜は隔週診療となります。
▼ 24時間WEB予約はこちら https://reservation.stransa.co.jp/…
名駅・名古屋駅の歯医者・小児歯科
- 診療時間
-
平日10:00~13:00/15:00~19:00
土日9:30~13:00/14:00~16:30
休診日水・日(隔週)・祝