新着情報
薬を飲んでも治らない激痛…。「膿の圧力」から解放された瞬間、嘘のように痛みが引いたお話
こんにちは。名古屋駅からすぐ、名駅サランおとなこども歯科・院長の妹尾です。
歯の痛みというのは、本当に耐え難いものです。 「夜も眠れない」「何も手につかない」 そんな極限状態で当院に駆け込んでこられる患者様は、決して少なくありません。
先日も、ある患者様が切羽詰まった表情で急患として来院されました。 今日は、その時の症例を通して、「なぜ歯の痛みは薬だけでは止まらないことがあるのか」そして「適切な処置の重要性」について、少し詳しくお話しさせていただきます。
■ 「日曜日に歯医者に行ったのに、まだ痛いんです」
その患者様は、当院に来られる前の日曜日、突然の激痛に見舞われたそうです。 日曜診療を行っている別の歯科医院へ駆け込んだものの、そこでは「抗生剤(化膿止め)」と「痛み止め」を処方されただけで処置は終わり。
「薬を飲めば治るはず」 そう信じて飲み続けたものの、痛みは引くどころか、むしろズキズキと激しさを増すばかり…。 藁をもすがる思いで、当院へといらっしゃいました。
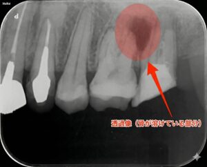
■ レントゲンで判明した「急性の炎症」
すぐにお話を伺い、レントゲン撮影を行いました。 すると、痛みを訴えている歯の根っこの先に、黒い影がはっきりと写っていました。

診断名は「急性根尖性歯周炎(きゅうせいこんせんせいししゅうえん)」。
これは、歯の根の中の神経が死んで腐ってしまったり、過去に治療した歯の中に細菌が繁殖したりすることで、根の先に急激に膿(うみ)が溜まってしまう病気です。
患者様の歯は、過去に治療がされており、上から「レジン(白いプラスチック)」で土台が作られ、蓋がされている状態でした。 一見するときれいに治っているように見えますが、実はその「しっかり蓋がされていること」が、今回の激痛の最大の原因だったのです。
■ 痛みを生んでいたのは「内圧」でした
なぜ、薬を飲んでも痛みが引かなかったのでしょうか? それは、歯の中で「圧力鍋」のような状態が起きていたからです。
細菌と戦った白血球の残骸などが「膿」となります。 骨という硬い組織の中で膿がどんどん作られると、逃げ場がありません。しかし、膿の量は増え続けます。 すると、歯の根の中や骨の中の圧力(内圧)がパンパンに高まります。
この高まった圧力(内圧)が、周囲の神経や骨をギューっと押し圧迫すること。これこそが、飛び上がるほどの激痛の正体です。
抗生剤は細菌を殺す薬ですが、すでにパンパンに溜まってしまった膿を消し去る魔法の薬ではありません。また、内圧が高まりすぎて血液循環が悪くなっている場所には、飲み薬の成分が届きにくいという側面もあります。 だから、薬だけでは痛みが引かなかったのです。
■ レジンを外した瞬間、膿が溢れ出す
痛みの原因が「内圧」である以上、やるべき処置は一つです。 「膿の逃げ道を作ってあげること(排膿・ドレナージ)」です。
私はすぐに麻酔をし、慎重に治療を始めました。 痛みで敏感になっている歯に響かないよう、丁寧に、かつ素早く、歯を覆っていたレジンの土台を削り取っていきます。
そして、根の中への入り口が開通した、その瞬間でした。
ドッと、中から白い膿が溢れ出てきました。
まるで、パンパンに膨らんだ風船の空気が抜けるように、根の中に閉じ込められていた膿とガスが一気に解放されたのです。
■ 「痛みが…消えました」
膿が出た直後、患者様の表情が劇的に変わりました。
「あれ? …痛くないです」 「さっきまでのズキズキが嘘みたいに引きました」
魔法のようだと驚かれていましたが、これは物理的な理屈です。 痛みの原因であった「圧力」が下がった(減圧された)ため、神経への圧迫がなくなり、その場ですっと痛みが引いたのです。
その後、根の中を十分に洗浄し、再び圧力がかからないよう処置をして、その日の治療は終了しました。 お帰りになる際の、患者様の安堵された笑顔は、私にとっても何より嬉しい瞬間でした。
■ 我慢せずに、早めの受診を
今回のケースのように、急性の炎症が起きている場合、飲み薬だけで様子を見ていても解決しないことが多々あります。 むしろ、「薬で散らそう」として我慢している間に、炎症が顎の骨全体や顔、首にまで広がってしまうリスクさえあります。
「適切な診断」と、「原因を取り除く物理的な処置」。 この2つが揃って初めて、本当の意味での治癒が始まります。
当院では、急な痛みでお困りの患者様に対して、単に薬を出すだけでなく、「なぜ痛いのか?」「今、歯の中で何が起きているのか?」をレントゲン等で正確に突き止め、その場で痛みを取るための最善の処置を行います。
「他院で薬をもらったけど痛みが引かない」 「夜も眠れないほど歯が痛い」
そんな時は、どうか一人で我慢せず、名駅サランおとなこども歯科にご相談ください。 皆様の痛みに寄り添い、原因を根本から解決するために全力を尽くします。
■ 診療時間・アクセス
名駅サランおとなこども歯科 〒450-0002 名古屋市中村区名駅2丁目42−12 ADC名駅2丁目ビル2F TEL:052-581-6480
【診療時間】
-
月〜金: 10:00〜13:00 / 15:00〜19:00
-
土・日: 09:30〜13:00 / 14:00〜16:30
-
休診日:水曜・隔週日曜
-
※▲:日曜は隔週診療となります。
▼ 24時間WEB予約はこちら https://reservation.stransa.co.jp/…
名駅・名古屋駅の歯医者・小児歯科
- 診療時間
-
平日10:00~13:00/15:00~19:00
土日9:30~13:00/14:00~16:30
休診日水・日(隔週)・祝