新着情報
【衝撃】たった2年で神経が…?18歳、若さゆえの「虫歯の加速」という落とし穴
こんにちは。名古屋駅からすぐ、名駅サランおとなこども歯科・院長の妹尾です。
今日は、ある18歳の患者様の症例を通して、皆さんに「若年層の虫歯の怖さ」と「定期検診の真の価値」について、少しシビアなお話をさせてください。
特に、高校生〜大学生のお子様をお持ちの親御さん、そして10代・20代の学生・社会人の皆さんには、ぜひ読んでいただきたい内容です。
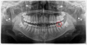
まずは、論より証拠。こちらのレントゲン画像をご覧ください。
■ わずか2年で、ここまで悪化してしまう現実


これは、ある患者様の2年前(16歳時)と現在(18歳時)のお口全体のレントゲン写真です。 一見すると分かりにくいかもしれませんが、実はこの2年間で、私たち歯科医師が「これはまずい…」と危機感を覚えるほどの変化が起きています。
さらに、特に進行が目立つ部分を拡大して撮影したものがこちらです。

いかがでしょうか。 歯の内部に、黒く大きな空洞(透過像)が広がっているのがお分かりいただけるでしょうか? 2年前には影も形もなかった虫歯が、わずか2年で神経の近くまで破壊を進めてしまっているのです。
■ 「若いから大丈夫」が一番危ない理由
「若いうちは代謝もいいし、体も丈夫。少しくらい歯磨きをサボっても平気でしょ?」
そんなふうに思っていませんか? 実は、虫歯に関してはその逆です。10代〜20代前半こそ、最も注意が必要な時期なのです。
1. 歯がまだ「未熟」で柔らかい 生えたばかりの永久歯や10代の歯は、実はまだ完全に成熟しきっていません。表面を覆うエナメル質が大人に比べて柔らかく、酸に対する抵抗力が弱いため、一度虫歯菌の侵入を許すと、そこからの進行スピードは驚くほど速いのです。
2. ライフスタイルの変化(食生活) 高校から大学、社会人へと環境が変わる時期です。 部活でのスポーツドリンク、勉強中の炭酸飲料、あるいは間食の増加…。糖分を含む飲料をチビチビ飲む習慣がつくと、お口の中は常に「酸性」に傾き、柔らかい歯が溶け続けてしまいます。
3. 「親の管理」からの卒業 これまで親御さんが仕上げ磨きをしたり、検診の予約を取ったりしていたのが、自分自身の管理になります。 すると、「痛くないから行かなくていいや」「忙しいからまた今度」と、検診が後回しになりがちです。
■ 「痛い」と思った時には、すでに手遅れ!?
若い世代の虫歯の恐ろしい点は、「自覚症状が出にくい」という罠があることです。
歯の表面に小さな穴が開いただけに見えても、柔らかい内部(象牙質)で爆発的に広がっているタイプが多く見られます。 そのため、「なんとなく痛いな」と感じて来院された時には、すでに神経まで達しており、神経を抜くしかない(抜髄)というケースが後を絶ちません。
■ 30代で「歯を失う」未来を避けるために
「神経を抜くだけなら、治るんでしょ?」 そう思われるかもしれません。しかし、神経を失った歯は「枯れ木」と同じです。
栄養が届かなくなるため、非常にもろくなります。 その結果、20代で被せ物(クラウン)になり、30代・40代で根っこが割れてしまい、最終的には「抜歯」を余儀なくされる…。 そんな「負の連鎖」の入り口が、まさにこの18歳〜20代の時期なのです。
30歳を過ぎてインプラントや入れ歯の相談に来られる患者様の多くが、 「もっと若い頃に、ちゃんと検診に行っていればよかった」 と、後悔の言葉を口にされます。
■ 定期検診は「歯を守る唯一の保険」です
歯は、一度削れば二度と元には戻りません。 治療とは「治す」ことではなく、人工物で「補っている」に過ぎないのです。
若ければ若いほど、3ヶ月〜半年に一度の定期検診が持つ意味は重くなります。
-
初期発見: 削らずに済む、あるいは最小限の治療で食い止められます。
-
癖の修正: 自分では気づけない磨き残しの癖を修正できます。
-
リスク管理: 食生活のリスクを再確認し、予防策を立てられます。
もし、あなたが10代、20代で、最後に歯医者へ行ったのが1年以上前なら、今すぐ予約を取ってください。「痛みがない」のは、健康の証明ではなく、単なる「静かな進行中」のサインかもしれません。
■ 最後に:あなたの未来の笑顔のために
今回の患者様も、このタイミングで気づけたことは、ある意味でチャンスでした。 ここで食生活を見直し、プロによるケアを継続すれば、30代、40代になっても自分の歯で美味しい食事を楽しむ未来を取り戻せます。
名駅サランおとなこども歯科は、あなたの10年後、20年後の笑顔を守りたいと考えています。 怒ったりしませんので(笑)、久しぶりの歯医者さんという方も、どうぞ安心してお越しください。
■ 診療時間・アクセス
名駅サランおとなこども歯科 〒450-0002 名古屋市中村区名駅2丁目42−12 ADC名駅2丁目ビル2F TEL:052-581-6480
【診療時間】
-
月〜金: 10:00〜13:00 / 15:00〜19:00
-
土・日: 09:30〜13:00 / 14:00〜16:30
-
休診日:水曜・隔週日曜
-
※▲:日曜は隔週診療となります。
▼ 24時間WEB予約はこちら:名駅サランおとなこども歯科
名駅・名古屋駅の歯医者・小児歯科
- 診療時間
-
平日10:00~13:00/15:00~19:00
土日9:30~13:00/14:00~16:30
休診日水・日(隔週)・祝